Crowns and Bridges
No one should have to live with damaged, broken, or decayed teeth. The health and appearance of our teeth are essential to our overall wellness and self-esteem. 
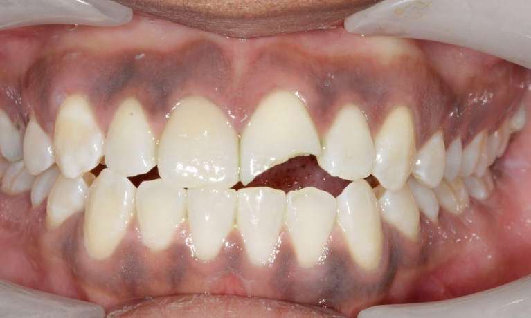
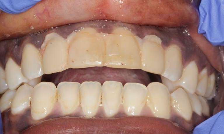
Broken, decayed, or missing teeth can be painful, dampen our spirits, and take a toll on our comfort and quality of life. At Cobb Family Dentistry, Dr. Reid Popple uses crowns and bridges to restore damage or decay and replace missing teeth.
What Can a Dental Crown Do?
A dental crown is a tooth-shaped cap made from ceramic material or porcelain that covers a broken or damaged tooth. Your dentist customizes the crown to match your smile and withstand chewing forces so you can have a newly restored and powerful bite. If a dental filling doesn't repair your tooth, your dentist may recommend a dental crown.
Revolutionary Technology to Create Your Best Smile
Our dental office has state-of-the-art dental technology to design and create crowns and bridges. One of our favorite pieces of technology is the 3Shape TRIOS® CBCT intraoral scanner that uses 3-D cone beam imaging. This scanner maps out your mouth's soft tissues, dental structures, bone, and nerve pathways in a single scan, providing high precision and enhanced patient comfort.
What Can Dental Crowns and Bridges Fix?
Dental crowns, including same-day dental crowns, are perhaps one of the most versatile restorations in dentistry today. We can make a crown from various materials and use them to correct many dental concerns:
- Strengthen a tooth after root canal therapy
- Protect a cracked, broken, or decayed tooth
- Anchor a dental bridge
- Top a dental implant
- Restore dental function
- Correct a disproportionate tooth
Common materials used to create dental crowns are porcelain, porcelain-fused-to-metal (PFM), and gold. Porcelain crowns mimic the natural appearance of tooth enamel, which makes them perfect for patients who prioritize appearance. PFM and gold crowns are durable and strong, and dentists typically use them on molars to absorb chewing forces.
How Does a Dental Bridge Work?
A dental bridge replaces one or several consecutively missing teeth. Bridges rely on healthy neighboring teeth for support and sit in the space left behind by missing teeth. 
A dental bridge includes a false tooth called a pontic and two dental crowns. The pontic sits in the gap, and the crowns anchor the bridge by covering adjacent teeth. Dr. Popple will design your dental bridge to fit perfectly and comfortably while restoring your smile's bite and aesthetics.
Caring for Your Dental Crown or Bridge
Dental crowns and bridges can last for many years, but they aren't permanent. Eventually, they will need to be replaced, but you must care for your restorations in the meantime. Though your restorations aren't natural teeth, your teeth beneath them can still develop cavities. Gum disease is also a risk for anyone, including patients with dental restorations.
We recommend brushing twice each day, flossing at least once, and visiting your dentist for routine exams and cleanings. Your dentist will also check your restorations to ensure they're comfortable, functional, and secure.
Contact Our Mableton Dental Office Today
Our Mableton dental office creates custom crowns and bridges for patients of all ages. If you need to improve your bite, conceal a damaged tooth, or replace missing teeth, you can count on us. Since we're a full-service general dentistry office, we can address your every dental health need. Our ultimate goal is to help you maintain a healthy, beautiful smile.
Please contact us today to schedule your crown or bridge consultation.