Cobb Family Dentistry

Smile Gallery

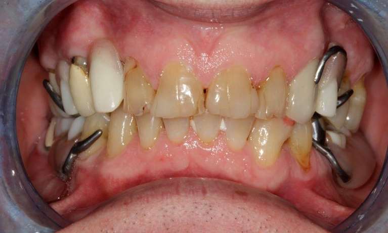
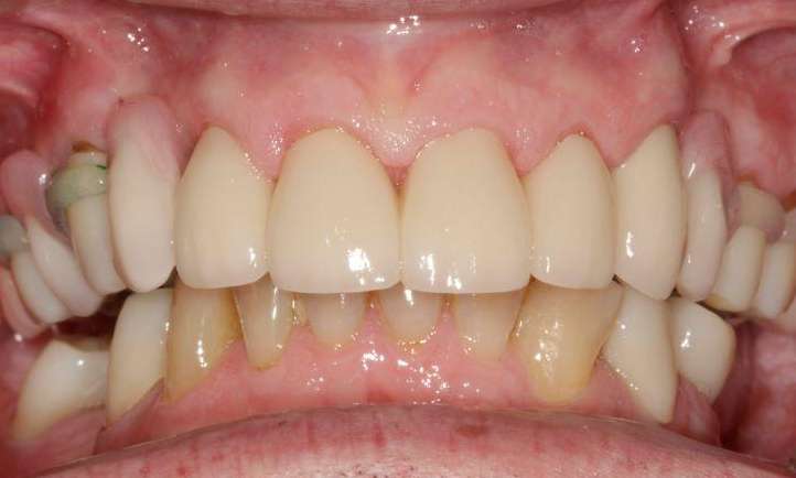
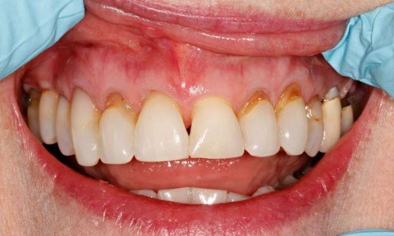
Our team at Cobb Family Dentistry finds the greatest joy in helping our patients attain the healthy, attractive smiles they have always wanted. Please take a look at our Smile Gallery to view some of our patient cases and dental treatments. 

If you would like to learn more about how we can help you care for your teeth and gums, we encourage you to give us a call at our Mableton dental office. 

Ready to book an appointment?
If you have difficulty using our website, please email us or call us at (770) 944-8620
View the ADA Accessibility Statement
Privacy Policy