Cobb Family Dentistry
Cobb Family Dentistry
Request an Appointment
Leave a Google Review
(770) 944-8620
5345 Floyd Rd SW Ste. 126
Mableton, GA 30126
EMERGENCY
Menu
Call
Book Now
Map
Home
About
Our Team
Technology
Office Pictures
Services
View All
Emergency Services
Implants and Impacted Wisdom Teeth
Preventive Dentistry
General Dentistry
Cosmetic Dentistry
Invisalign® Clear Braces
Root Canal Therapy
Crowns and Bridges
Tooth Extractions
Dental Implants
CEREC Same-Day Crowns
Biomimetic Dentistry
Minimally Invasive Dentistry
Smile Gallery
Patient Info
View Patient Info
Forms
Financial
FAQs
Contact
Cobb Family Dentistry
>
Smile Gallery
>
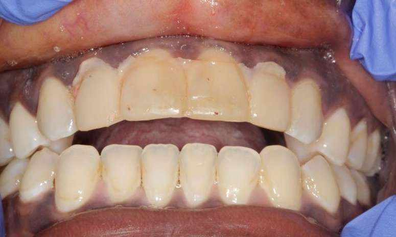
Anterior Crowns Case
Anterior Crowns Case
Return to Smile Gallery
Previous
Next
Related Services:
Crowns and Bridges
Click image to see a larger picture
Before
After
Getting an appointment is
fast
and
easy
!
Get Started!
If you have difficulty using our website, please
email us
or call us at
(770) 944-8620
View the
ADA Accessibility Statement
Turn on ADA Views
Privacy Policy
OK!
×
×
Contact Us Today
Give Us A Call
Cobb Family Dentistry -
(770) 944-8620
Send Us an Email
Request an Appointment
Contact Us
Ready to Schedule an Appointment?
Book Online
Have Questions? Contact Us:
Required Field
Your Name:
Phone:
Email:
Are you a new patient?:
Are you a?
New Patient
Current Patient
How would you like us to contact you?
Please choose
Email
Call
How did you hear about us?
Please choose
I'm an existing patient
Google/Bing
Mailer
Word of mouth
Social media
Other
Who Referred You?:
Appointment Preferences
Monday
Tuesday
Wednesday
Thursday
Your Message:
This site is protected by reCAPTCHA and the Google
Privacy Policy
and
Terms of Service
apply.
Sending...
×
This Patient's Experience
Loading Testimonial...
Loading Case...